[Intl_DxMedPhys] MRI artefact

Steven Shea steven.michael.shea at gmail.com
Wed Aug 20 15:46:11 EDT 2025


Dear Peter,

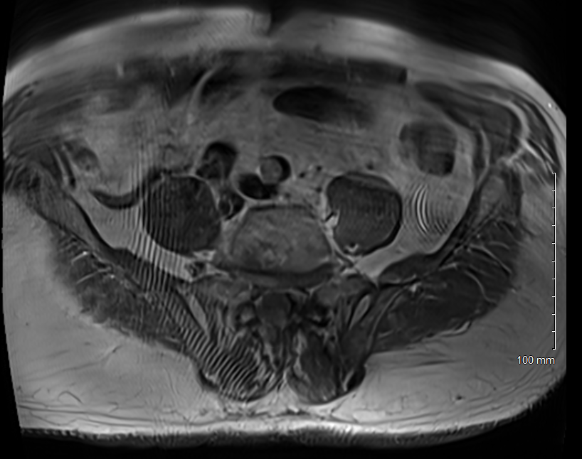
That is an interesting artifact. At first glance, it looks like Moire or
spike. However, it seems quite unlikely to be Moire due to the pulse
sequence being a fast spin echo. GRE or bSSFP are the usual culprits for
Moire. Assuming the phase-encode is L/R (to minimize respiratory motion
ghosting in main region of interest) and parallel imaging is on, I would
agree with you in assuming the likely cause is inadequate oversampling. The
other possibility is that a spike is occurring in a specific coil channel
that is then propagating irregularly in the image due to the parallel
imaging recon. I have seen that happen on a GE system. If the rawdata is
still on the system, you could perform a retro-recon and see if you could
generate individual images from each channel. (That may not really work if
parallel imaging is on.) That might give some clues as to spike or some
other coil-related issue.

Good luck if you decide to chase this. I would be curious to learn more on
what you find.

Best regards, Steve

Steven Shea, PhD
Associate Professor, MR Scientist
Department of Radiology & Medical Imaging. Loyola Medicine

From: "Hardy, Peter A." <Peter.Hardy at uky.edu>
To: "intl_dxmedphys_wd_osu_list at lists.osu.edu" <
intl_dxmedphys_wd_osu_list at lists.osu.edu>
Cc:
Bcc:
Date: Wed, 20 Aug 2025 14:02:07 +0000
Subject: [Intl_DxMedPhys] MRI artefact

Colleagues:

We saw this artifact on several slices of a T1weighted scan (tse2d1_3)
obtained on a 3T Siemens Skyra. I suspect the subject’s arms and hands are
by their side and as the FOV is pretty small, 320 mm, they may be outside
the FOV even with oversampling. Any other thoughts to explain the wavey
lines?





*Peter Hardy, PhD, DABMP*

Associate Professor of Radiology, Neuroscience and Biomedical Engineering

Faculty, Division of Diagnostic & Nuclear Medical Physics

Department of Radiology

University of Kentucky College of Medicine

UK HealthCare

800 Rose Street, Room HX-307

Lexington, KY 40536-0293

Phone: (859) 323-2954

Email: peter.hardy at uky.edu
-------------- next part --------------
An HTML attachment was scrubbed...
URL: <http://lists.osu.edu/pipermail/intl_dxmedphys_wd_osu_list/attachments/20250820/bbdbe72a/attachment.html>
-------------- next part --------------
A non-text attachment was scrubbed...
Name: image001.png
Type: image/png
Size: 330587 bytes
Desc: not available
URL: <http://lists.osu.edu/pipermail/intl_dxmedphys_wd_osu_list/attachments/20250820/bbdbe72a/attachment.png>


More information about the Intl_dxmedphys_wd_osu_list mailing list