[Intl_DxMedPhys] MRI artefact

Hardy, Peter A. Peter.Hardy at uky.edu
Wed Aug 20 10:02:07 EDT 2025


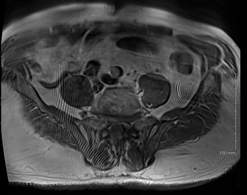
[cid:image001.png at 01DC11B8.A6466C40]
Colleagues:
We saw this artifact on several slices of a T1weighted scan (tse2d1_3) obtained on a 3T Siemens Skyra. I suspect the subject's arms and hands are by their side and as the FOV is pretty small, 320 mm, they may be outside the FOV even with oversampling. Any other thoughts to explain the wavey lines?


Peter Hardy, PhD, DABMP
Associate Professor of Radiology, Neuroscience and Biomedical Engineering
Faculty, Division of Diagnostic & Nuclear Medical Physics
Department of Radiology
University of Kentucky College of Medicine
UK HealthCare
800 Rose Street, Room HX-307
Lexington, KY 40536-0293
Phone: (859) 323-2954
Email: peter.hardy at uky.edu

The contents of this email and any attachments are confidential and are intended solely for the addressee(s).  The information contained in this email may also be legally privileged.  It may also contain student educational records, protected health information, patient safety work product, personally identifiable information or personal information protected from disclosure under federal or state law.  If you have received this email in error, any use, reproduction or dissemination of this email is strictly prohibited.  If you are not the intended recipient, please immediately notify the sender by email, contact the Chief Privacy Officer at (859) 323-1184 and delete this message and its attachments, if any.  Receipt by anyone other than the intended recipient is not a waiver of any legal privilege or protection from disclosure.

-------------- next part --------------
An HTML attachment was scrubbed...
URL: <http://lists.osu.edu/pipermail/intl_dxmedphys_wd_osu_list/attachments/20250820/4b476c84/attachment.html>
-------------- next part --------------
A non-text attachment was scrubbed...
Name: image001.png
Type: image/png
Size: 330587 bytes
Desc: image001.png
URL: <http://lists.osu.edu/pipermail/intl_dxmedphys_wd_osu_list/attachments/20250820/4b476c84/attachment.png>


More information about the Intl_dxmedphys_wd_osu_list mailing list