[Intl_DxMedPhys] Central ring artifact in Canon Alphenix system

Yang, Kai,PhD KYANG11 at mgh.harvard.edu
Wed Aug 20 13:58:40 EDT 2025


Dear listserv members,

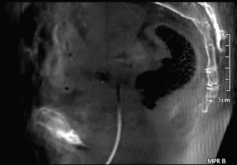
Just curious if anyone has Canon Alphenix systems with CBCT options. Our new system has this subtle central ring artifact, even after detector replacement. It appears stronger with a uniform ACR phantom, but is also visible from clinical cases, especially from sagittal or coronal views.

This is our first Canon room in IR. We haven't never seen this type of artifact in our Siemens or Philips rooms.

Would really appreciate any suggestions or comments if you have related experience.

[cid:ab3ad1a8-4df5-4835-b692-ad3a79ecdb9c]
[cid:4daacfa6-171f-496c-9767-579795ce81d2]



---------------------------------------------------------------------------------------------------------

Kai Yang, PhD, DABR, FAAPM



Medical Physicist, Department of Radiology

Massachusetts General Hospital

Associate Professor of Radiology

Harvard Medical School



241-C, Suite 200

175 Charles River Plaza

Boston, MA 02114



Email: [kyang11 at mgh.harvard.edu]kyang11 at mgh.harvard.edu

Phone: (617) 724-7169

---------------------------------------------------------------------------------------------------------

The information in this e-mail is intended only for the person to whom it is addressed.  If you believe this e-mail was sent to you in error and the e-mail contains patient information, please contact the Mass General Brigham Compliance HelpLine at https://urldefense.com/v3/__https://www.massgeneralbrigham.org/complianceline__;!!KGKeukY!wsUFaLUyKofGvO6RLiIe8lUkM4sv4ucgQwu8DW7vyibsav3SSvzV60m-ob95AlkYoxGVpJXK3Gvx7CcV1poMBoz6lC3QLxiGFpvIq5utFyf_WQ$  <https://urldefense.com/v3/__https://www.massgeneralbrigham.org/complianceline__;!!KGKeukY!wsUFaLUyKofGvO6RLiIe8lUkM4sv4ucgQwu8DW7vyibsav3SSvzV60m-ob95AlkYoxGVpJXK3Gvx7CcV1poMBoz6lC3QLxiGFpvIq5utFyf_WQ$ > .
Please note that this e-mail is not secure (encrypted).  If you do not wish to continue communication over unencrypted e-mail, please notify the sender of this message immediately.  Continuing to send or respond to e-mail after receiving this message means you understand and accept this risk and wish to continue to communicate over unencrypted e-mail. 
-------------- next part --------------
An HTML attachment was scrubbed...
URL: <http://lists.osu.edu/pipermail/intl_dxmedphys_wd_osu_list/attachments/20250820/e46247d1/attachment.html>
-------------- next part --------------
A non-text attachment was scrubbed...
Name: image.png
Type: image/png
Size: 250281 bytes
Desc: image.png
URL: <http://lists.osu.edu/pipermail/intl_dxmedphys_wd_osu_list/attachments/20250820/e46247d1/attachment.png>
-------------- next part --------------
A non-text attachment was scrubbed...
Name: image.png
Type: image/png
Size: 312381 bytes
Desc: image.png
URL: <http://lists.osu.edu/pipermail/intl_dxmedphys_wd_osu_list/attachments/20250820/e46247d1/attachment-0001.png>


More information about the Intl_dxmedphys_wd_osu_list mailing list